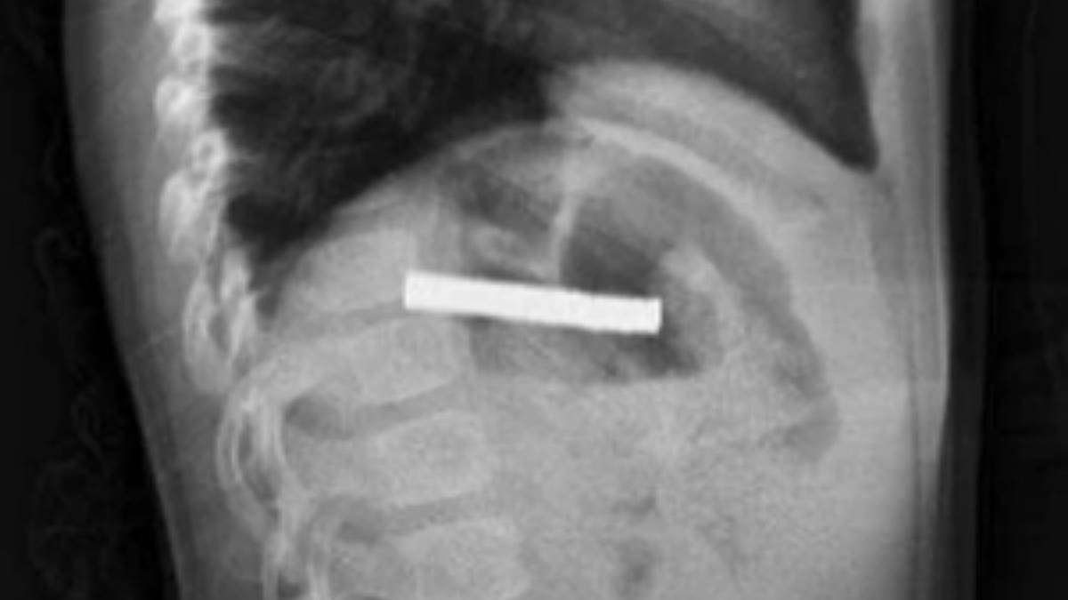
Evde rahatsızlandı, boğazından 19 mıknatıs çıktı!
Erzurum’da 3 yaşındaki bir çocuk evde bulunan 19 mıknatısı yuttu. Elazığ’daki Fırat Üniversitesi Hastanesi’nde Prof. Dr. Yaşar Doğan tarafından yapılan endoskopik operasyonla mıknatıslar çıkarıldı. Yemek borusu ve mide girişinde zedelenmeler oluşsa da küçük çocuğun sağlık durumunun iyi olduğu ve taburcu edildiği bildirildi.

Erzurum’da iddiaya göre, 3 yaşındaki çocuk evde bulunan 19 tane mıknatısı yuttu.
1
4

Çocuğun rahatsızlanması sonucu durumu öğrenen aile hastaneye gitti. Daha sonra çocuk Elazığ’a sevk edildi.
2
4

Fırat Üniversitesi Çocuk Gastroenteroloji Hepatoloji ve Beslenme Bilim Dalı Başkanı Prof. Dr. Yaşar Doğan, çocuk hastanın yemek borusuna yapışmış 19 mıknatısı endoskopik yöntemle çıkardı.
3
4

Mıknatıslar uzun süre yemek borusunda takılı kaldığı için yemek borusu ve mide girişinde zedelenmeler olurken, çocuğun sağlık durumunun iyi olduğu ve taburcu edildiği öğrenildi.
4
4